Zlomenina kocourka Murriho - snímky, náklady, příspěvky, poděkování
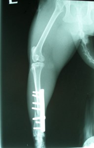
Rentgeny zlomené kosti holení a lýtkové





Po operaci obou kostí



Náklady
vyšetření, rentgen: 693,-Kč
operace: 5 007,-Kč
3x kontrola, převazy, léky: 147,-Kč 190,-Kč, 199,-Kč
kontrolní rentgen měsíc po operaci: 467,-Kč
celkem: 6 703,-Kč
Příspěvky určené na Murriho operaci:
Vránová Soňa: 1 700,-Kč
Oppová Alice: 1 000,-Kč
Sifaldová Markéta: 200,-Kč
Koncerová Lenka: 1 000,-Kč
Kohoutková Ema: 100,-Kč
Chochlíková Lenka: 200,-Kč
celkem: 4 200,-Kč
Teď nás čeká další rentgen. Pokud bude srůst kostí dostatečný, bude Murri muset přestát ještě operaci, kde mu budou vytaženy šrouby. Předpokládané další náklady tedy budou spojené s dalším rentgenem a operací. Cenu budu zítra opět konzultovat / jdeme na vyšetření a zásah s kocourkem, který má problémy v tlamičce/. Pak budeme nožku v průběhu dalších měsíců pomalu zatěžovat tzn, že Murri bude mít krátké, kontrolované procházky a budeme cvičit. Zatím je stále ve velké kleci, která mu dovoluje dost pohybu a bezpečné zatížení nohy. Na nožku zatím výrazně kulhá, nerad ji zatěžuje, myslím, že mnohé je důsledkem ochablé svaloviny. Podstatný bude rentgen.
Omlouvám se, že tyto podstatné informace předkládám se zpožděním. Péče o nemocné kočičky je časově náročná a nemocná kočička má vždy přednost před papírováním a aktulizací stránek. Snad mne pochopíte.
Děkuji lidem, kteří nám zatím přispěli. Zvláště při smutných událostech posledních týdnů, je pro mne tato podpora nejen oporou finanční.
Budeme vděčni za každou pomoc a podporu.


Související článek: Kocourek Murri - prosba o pomoc
4. března večer půjde Murri na další kontrolní rentgen. Pak podáme zprávy, jak to vypadá, co nás čeká a kolik to bude stát :-(
5. března 2008
Nejaktuálnější zprávy o posledním rentgenu najdete zde
Náhledy fotografií ze složky Kocourek Murri - prosba o pomoc

